
Trajtimi Ortodontik ne femije te moshes 6-11 vjec
Sipas Shoqates Amerikane te ortodonteve, vizita e pare te ortodontik rekomandohet rreth moshes 7-8 vjec, por pjesa me e madhe e trajtimeve ortodontike kryhen rreth moshen 10-15 vjec.
Kontrolli ne kohen e duhur rrit mundesite per nje buzeqeshje te bukur
Ne moshen 7 vjecare ka eruptuar molari i pare permanent i cili siguron kafshimin posterior te dhembeve dhe sherben si nje çeles per okluzionin. Ne kete moshe, ortodonti kontrollon raportet e dhembeve si ne pjesen anteriore dhe ate posteriore, keshtu pershembull duke kontrolluar eruptimin e centraleve, vihen re ne kohe probleme qe mund te kene lidhje me overjetin (dalja perpara), overbite(mbulimi i dhembe), kafshimet e hapura apo dhe ekspozimet e mishrave te dhembeve. Trajtimi i disa prej ketyre problemeve , ne moshat e hershme kryhet ne saj te asaj qe quhet Ortodonci Interceptive. Ja disa prej trajtimeve qe mund te permendim:
Zgjerimi palatal
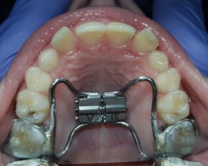
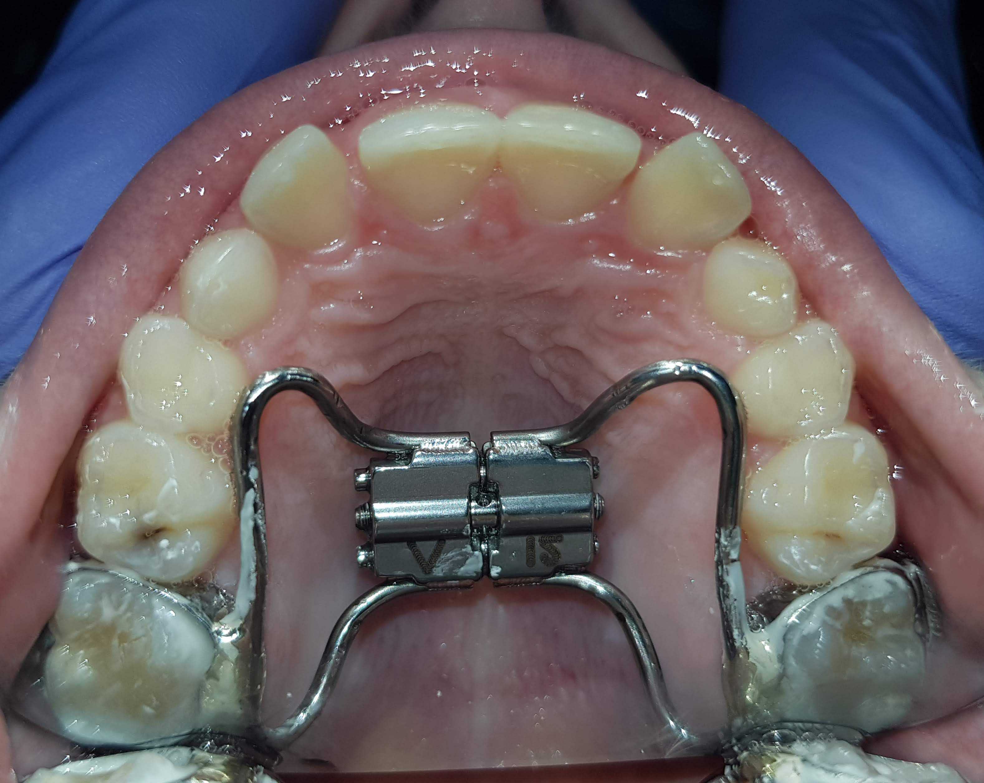
Kur nofulla e siperme paraqitet e ngushte, dhe dhembet jane ne kafshim te kryqezuar posterior, kerkohet zgjerim i saj per te korrigjuar kafshimin dhe te krijohet hapesira e nevojshme qe dhembet te rreshtohen siç duhet. Zgjerimi palatal zgjat deri ne 6 muaj dhe mund te kryhet me 2 lloj aparatesh, aparat zgjerues fiks dhe ai i levizshem.Aparati zgjerues fiks ben zgjerim te shpejt te maxilles dhe perdoret ne raste kur nofulla paraqitet shume e ngushte dhe aparati zgjerues i levizshem i cili ben nje zgjerimi me te ngadalshem.

Nepermjet zgjerimit te nofulles se siperme sigurohet nje permiresimi i fymemarjes duke zgjeruar hapsiren ajrore, kontroll me te mire te muskujve pertypes, me shume hapesire per rreshtimin e dhembeve, zhvillim normal i nofulles se poshtme si dhe te artikulacionit.
Face mask

Ne pacientet me anomalite klases se III-te, te shoqeruar me ne defiçence ne zhvillim e nofulles se siperme, trajtimi me facemask ne moshen e duhur siguron korrigjimin e anomalise skeletike.
Aparatet e levizshme per korrigjimin e kafshimit te kryqezuar anterior

Ne rastet kur nje ose disa dhembe ndodhen ne kafshim te kryqezuar perdoren aparatet e levizshme te cilet kane disa element ne perberje.Nepermjet disa rrafsheve kafshuese, behet ngritja e kafshimit dhe pastaj nepermjet aktivizimit gradual te vides behet shtytja dhe nxjerra e dhembit apo disa dhembeve nga kafshimi i kryqezuar. Korrigjimi ne kohe i kafshimeve te kryqezuara anteriore, mbron dhembin nga demtimi dhe lejon nje zhvillim korrekt te nofullave.
Rruajtesit e vendit

Rruajtesit e vendit perdoren kur ka nje humbje te parakoheshme te dhembeve te qumeshtit. Humbje e parakoheshme e dhembit te qumeshtit ndodh ne rastet e traumave apo kur dhembi duhet te hiqet si pasoje e prishjes, nderkohe qe dhembi permanent akoma nuk eshte ne fazen e daljes.Ne keto raste per te shmangur zenien e hapsire nga dhembet e tjere vendosen rruajtesit e vendit.


English
Italiano
