Dhëmballët e pjekurisë

Përse janë frekuente problemet që lidhen me daljen e dhëmballëve të pjekurisë?

Origjina e problemit lidhet me një sër faktorësh (si shpejtësia e daljes,grada e formimit të rrënjëve,pozicioni dhe këndi i folikulit etj),por arsyeja që gjen më shumë dakordësi nga studiuesit është mungesa e hapësirës.

Dhemballa e pjekurise duke qene dhembi i fundit qe del ,duhet te gjej vend ne hapesiren e ngelur nga dhembet e tjere ne nofulle.Nje nofulle e vogel apo dhembë me përmasa të medha jane faktorë që sigurisht mund të cojnë ne probleme ne daljen e tyre.

Nese dhemballa e pjekurise del normalisht ne nofull a jep me probleme?

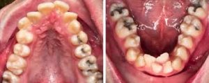
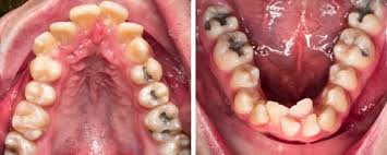
Edhe pse dhemballa e pjekurise mund te dali normalisht,ajo mund te japi probleme.Duke qene ne fund te arkades dentare,mbajtja e higjenes eshte e veshtire dhe akumulimi i pllakes dentare eshte me i madh.Per kete arsye mjeku stomatolog duhet te rekomandoj pacientit kontrollin periodik.Nga studime te ndryshme eshte evidentuar se ne perreth dhemballeve te pjekurise,shpesh grumbullohen baktere anaerobe pergjegjese per nje sere infeksionesh sistemike dhe lokale.

Kur duhet te hiqen dhemballet e pjekurise?

Heqja e dhemballeve te pjekurise rekomandohet vetem ne rastet kur dhembi eshte simptomatike (qe jep shqetesime) dhe nuk mund te kurohet per probleme te kariesit,fraktura ,parodontopati,infeksione akute ose kronike,anomali te formes,pozicionit,madhesise qe japin probleme si ne kocke dhe ne indet e buta per rreth dhembit.

Ne rastet kur dhembi eshte asimptomatik mund te rekomandohet ekstraksioni i tij ne rastet kur demton molarin e dyte, ose per te kompletuar terapine si paradontale,ortodontike apo kirurgjine si fraktura te kockave ,heqje e kistave tumoreve,kirurgjia ortognatike etj.

Gjithashtu rekomandohet ekstraksioni profilaktik ne paciente me probleme te pergjitheshme per te shmangur infeksionet te mundeshme.

A mund te parashikohet nese nje dhemballe pjekurie do te japi probleme?

Ekzistojne nje sere studimesh persa i perket ekstraksionit preventiv te dhemballes se pjekurise perpara moshes 25 vjecare ,madje edhe me heret kur rrenjet e dhemballes nuk jane formuar teresisht.Nga njera ana eshte demostruar se risqet operatore per ekstraksion e dhemballeve te pjekurise rriten me kalimin e moshes,nga ana tjeter nuk eshte  e lehte te parashikosh se cilet nga dhemballet do te japin probleme.

Dhemballet e pjekurise jane dhe nje nga problemet qe ndeshin mjeket ortodont  ne fund te trajtimit,ne pacientet ne rritje qe eshte arritur rreshtim korrekt dhe funksional i dhembeve.

Per te ulur riskun e komplikacioneve ne te ardhmen duhet te mendojne per ekstraksione preventive apo jo Cdo mjek ortodont perpara se te vendosi per te rekomanduar pacientin tek kirurgu duhet te mari ne konsiderate nje sere faktoresh si maturimin skeletik te pacientit,hapesiren e mbetur,tipin e e rritjes dhe nivelin e formimit te rrenjeve.Vetem pas nje diskutimi te kujdesshem me pacientin ,duke mare para sysh risqet dhe benefitet mund te vendoset per ekstraksionet apo jo te dhemballeve te pjekurise.

Dhembet anterior po spostohen,a eshte kjo nje arsye per te hequr dhemballet e pjekurise?

Ky eshte nje problem te cilit akoma nuk i eshte dhene nje pergjigje definitive nga studiuesit.Edhe pse per rreth nje shekull dhemballet e pjekurise jane quajtur shkakare te grumbullimeve anteriore te dhembeve,serisht sot ka dyshime.Dyshimet lindin nga fakti se nje grumbullim i vonuar mund te vihet re edhe ne pacientet 18-24 vjec te cileve u mungojne dhemballet e pjekurise.Keshtu qe mund te themi se grumbullimet dentare kane nje sere shkaqesh te cilat nuk mund ti atribohen vetem dhemballeve te pjekurise.Pozicioni i inciziveve inferior varet nga ekuilibrimi i disa forcave si ato te kafshimit,presionit te gjuhes dhe buzeve,dhembet ngjitur si dhe rritja skeletike .